Diabetes mellitus is a chronic metabolic disorder that is caused by a failure of the body to produce insulin and/or an inability of the body to respond adequately to circulating insulin. The principal functions of insulin, secreted by the pancreas, are to regulate the uptake of nutrients (glucose, amino acids and fatty acids) and the production of storage macromolecules (protein, glycogen and triglycerides). Impaired insulin function leads to the high level of blood glucose or hyperglycemia that is commonly associated with diabetic patients. Hyperglycemia is one of the main problems for diabetic patients and can lead to the development of long-term vascular complications in the kidney, heart, eyes and nervous system (source: Business Insights). There are essentially two types of diabetes: Type 1 and Type 2. Only type 1 diabetes is taken in charge with our medical device.

A minority of patients suffer from Type 1 diabetes mellitus, accounting for approximately 5-10% of the diagnosed diabetes population. Type 1 diabetes patients, estimated, in the world, to 20 millions persons in 2012 and to 300 000 in France. Type 1 diabetes is caused by pancreatic failure, which leads to an absolute loss of insulin. This form of diabetes is most prevalent in children and adolescents; however, it is becoming more increasingly prevalent later in life. Consequently, the cause of Type 1 diabetes is thought to be the result of an autoimmune attack against the pancreatic islet beta cells of the pancreas, which produce insulin. As Type 1 patients have impaired insulin production, insulin remains the gold standard treatment for Type 1 diabetes, and patients require frequent insulin injection to replace the normal pancreatic release of insulin (Source: Business Insights).
Insulin use currently requires patients to monitor their own blood sugar, usually via finger-pricking, and adjust insulin dosage accordingly (Source: Datamonitor). This can be a painful, socially embarrassing, and complex procedure that requires education of patients and physicians. For correct dose management, blood sugar levels will need to be taken prior to prandial injections, after a meal and at the end of the day. Most patients do not monitor their blood glucose levels this regularly.

The maintenance of close-to-normal blood glucose levels reduces the onset and progression of long-term microvascular complications in patients with type 1 diabetes; therefore, the ultimate therapeutic goal of type 1 diabetes is to restore normal glucose homeostasis and stable normoglycemia. Current insulin regimens using multiple daily injections or portable pumps hardly achieve this target.

 

Up to date, three principal R&D innovative approaches exist in order to improve the Type 1 diabetes patient’s life quality:

 

- Closed-loop insulin delivery systems (‘artificial pancreas’): the availability of continuous glucose monitoring systems has allowed their connection to portable insulin pumps and the recent development of control algorithms that drive automatically insulin infusion rate according to blood glucose level and trend. These closed-loop systems remain to be optimized in order to be considered for common use by ambulatory patients.

- Pancreas and islet transplantation: the competition is highly restricted due to the low number of donated pancreases suitable for pancreas or islet transplantation (less than 500 in Europe in 2007 corresponding to 0.01% of potential patients with diabetes).

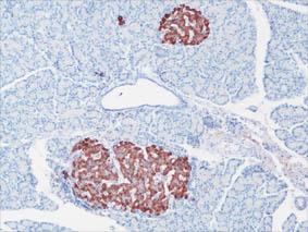
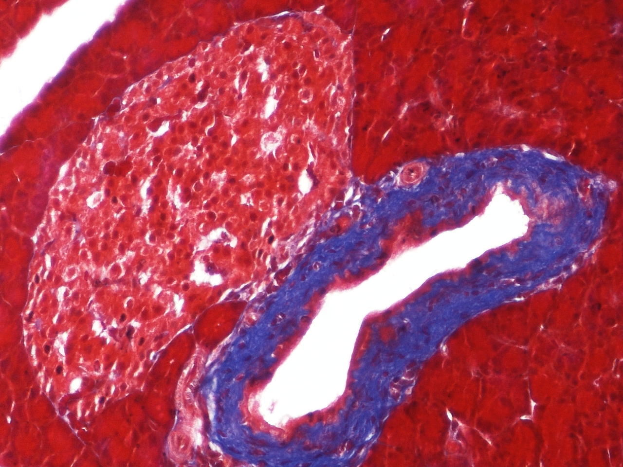
- Bio-artificial pancreas - BAP (encapsulation of insulin-secretory cells): the main advantages expected from this option are a better physiological integration (endogenous regulation), the absence of external devices and a better autonomy (several months). Several sources/types of insulin secretory cells could be encapsulated in these devices, notably, human islets, porcine islets, genetically modified cells and stem cells.

 

MAILPAN® bio-artificial pancreas will carry insulin secretory cells/islets from human or animal origins in order to physiologically respond to the patient’s body needs in terms of insulin. In this case, no need for immune-suppressants and patients will be autonomous in the treatment of their diabetes.